
뇌종양, 어떤 질환인가요?
뇌는 우리 몸의 모든 기능을 조절하는 중심기관입니다. 이런 뇌에 종양이 생긴다는 것은 신체의 여러 기능에 심각한 영향을 줄 수 있다는 뜻이에요.

뇌종양은 두개골 내부, 즉 뇌조직에 발생하는 비정상적인 세포 덩어리로 양성일 수도 있지만 위치에 따라 매우 위협적일 수 있습니다.
- 뇌 자체 또는 뇌 주변 조직에서 종양이 발생해요.
- 양성이라도 신경을 압박해 증상이 생길 수 있어요.
- 초기에는 무증상인 경우도 많아 진단이 늦어지기도 해요.
- 악성인 경우 빠르게 성장하면서 생명에 위협을 줄 수 있어요.
뇌종양은 조기 발견이 어렵고 위치에 따라 수술도 까다롭기 때문에 치료와 회복 모두 신중하고 체계적인 관리가 필요합니다.

뇌종양, 어떤 원인으로 발생하나요?
뇌종양은 아직 명확한 발병 원인이 밝혀지지 않았지만 여러 요인이 복합적으로 작용하는 것으로 알려져 있어요. 특히 유전적 요인, 환경적 요인, 전신 상태 등이 영향을 줄 수 있습니다.
- 유전적 요인
가족력 또는 유전자 변이가 영향을 줄 수 있어요.
- 방사선 노출
고강도 방사선에 장기간 노출 되었을 경우 위험이 높아져요.
- 호르몬 이상
일부 내분비 질환과 연관되기도 합니다.
- 면역 이상
면역계가 약해지면 비정상 세포 성장이 일어날 수 있어요.
- 이차성 전이
다른 장기의 암이 뇌로 전이되면서 발생하기도 해요.
이처럼 뇌종양은 단일 원인보다 복합적인 환경과 신체 조건에 의해 생길 수 있어 정기적인 건강검진이 중요합니다.

뇌종양의 주요 증상은 무엇인가요?
뇌종양은 증상이 서서히 진행되거나 위치에 따라 전혀 다른 양상으로 나타날 수 있습니다. 때문에 일반적인 두통이나 피로감으로 오해되고 방치되는 경우도 많아요.
- 지속적이고 점점 심해지는 두통
- 구역질, 구토 증상
- 시야 흐림 또는 겹쳐 보임
- 팔다리 힘이 빠지거나 감각 이상
- 언어 장애, 기억력 저하, 성격 변화
- 발작(경련)
이러한 증상은 뇌종양의 위치와 크기에 따라 다르게 나타납니다. 증상이 반복되거나 갑자기 심해질 경우, 빠른 진료와 정밀 검사가 필요해요.

뇌종양이 의심될 때 어떻게 대처해야 하나요?
뇌종양이 의심될 때는 자가진단보다는 신경외과 의료진의 진료와 뇌 영상 검사가 필수입니다. 정확한 진단 없이 무리하게 생활을 이어가면 증상이 급격히 악화될 수 있어요.
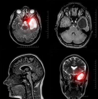
- MRI, CT 등 영상 검사로 정확한 위치 파악
- 신경학적 검사를 통한 기능 확인
- 조직검사를 통한 세포 성분 분석
- 종양의 종류(양성, 악성), 크기, 위치를 기준으로 치료 계획 수립
조기 발견이 치료 성과에 매우 큰 영향을 미치는 만큼 조금이라도 이상 증상이 있다면 주저하지 말고 병원을 방문하는 것이 중요합니다.


뇌종양, 어떤 수술이 필요한가요?
뇌종양의 수술은 종양 제거를 통해 뇌 기능을 보호하고 생존율을 높이기 위한 가장 중요한 치료법 중 하나입니다. 수술 방법은 종양의 위치, 크기, 환자의 상태에 따라 달라질 수 있어요.
- 개두술
두개골을 열고 종양을 직접 제거하는 가장 일반적인 방법이에요.
- 내시경 수술
접근이 어려운 위치의 종양에 사용되며 절개 범위가 작아요.
- 방사선 수술
수술이 어려운 경우 고정밀 방사선을 종양에 조사하는 방법이에요.
- 부분절제 + 추가 치료 병행
중요한 뇌 기능과 인접한 종양일 경우 일부만 제거하고 항암, 방사선 치료를 병행하기도 해요.
뇌는 매우 민감한 조직이기 때문에 수술 전후 회복과 재활 계획까지 포함된 통합 치료가 중요합니다.


뇌종양 수술 후 나타날 수 있는 부작용
뇌는 모든 신경 기능을 관장하는 기관으로 수술 이후 일시적 또는 지속적으로 후유증이 나타날 수 있습니다. 이러한 수술 후 부작용은 조기 재활과 전문 관리로 회복이 가능하지만 초기 대응이 매우 중요해요.
- 편측 마비, 감각 저하
- 언어장애, 인지 저하, 기억력 감소
- 시각 손상 또는 시야 협착
- 두통 및 전신 피로감
- 발작 재발 또는 신경계 손상
- 심리적 불안감, 우울감
이러한 부작용은 뇌종양의 수술 위치에 따라 매우 다양하며 수술 후 재활이 치료의 연장선상에서 반드시 필요합니다.

수술 후 주의해야 할 점은 무엇인가요?
수술이 끝났다고 회복도 끝난 것은 아닙니다. 뇌종양 수술 후에는 장기적인 재활과 철저한 건강 관리가 필수적이에요.
- 충분한 수면과 균형 잡힌 식단 유지
- 무리한 활동 자제, 점진적인 재활 운동 시행
- 스트레스와 과로 금지
- 주기적인 MRI, CT 등 추적 검사 필수
- 정신적 안정을 위한 상담 치료 병행
이러한 항목들은 모두 회복 속도와 후유증 관리에 중요한 영향을 미칩니다. 특히 초기 몇 개월간은 세심한 관찰과 돌봄이 필요해요.

파주암재활병원 다스람요양병원이 필요한 이유
뇌종양 수술 후 회복은 단순한 간병을 넘어서는 전문성이 요구되는 과정입니다. 다스람요양병원은 파주암재활병원 중에서도 암 수술 후 회복을 중심으로 구성된 체계적인 재활 시스템을 갖추고 있어요.
- 의료진과 간호 인력 상주로 안정적인 회복 환경 제공
- 신경계 재활치료, 언어/인지 재활 등 환자 맞춤형 프로그램 운영
- 균형 잡힌 식단과 영양 관리
- 심리 상담 및 정서적 지원 프로그램 제공
- 쾌적한 병실 환경과 가족 중심 케어 시스템
뇌종양 수술 후 후유증을 최소화하고 삶의 질을 회복하고 싶다면 경험 많은 파주암재활병원 다스람요양병원에서 다른 병원과는 다른 세심한 케어를 받아보세요.

'암치료정보' 카테고리의 다른 글
| 노원암요양병원 췌장암 좋은음식에 집중 관리까지 (8) | 2025.08.13 |
|---|---|
| 대장암 수술 후유증 걱정된다면.. ‘암환자치료병원’ (6) | 2025.08.05 |
| 간암 위험요인 알고 예방하기 [국립암센터요양병원] (6) | 2025.07.31 |
| 경기도암치료병원, 자궁경부암 원인과 초기증상 알아봐요 (1) | 2025.07.28 |
| 췌장암 환자에게 필요한 관리는? 일산암요양병원 (2) | 2025.07.25 |